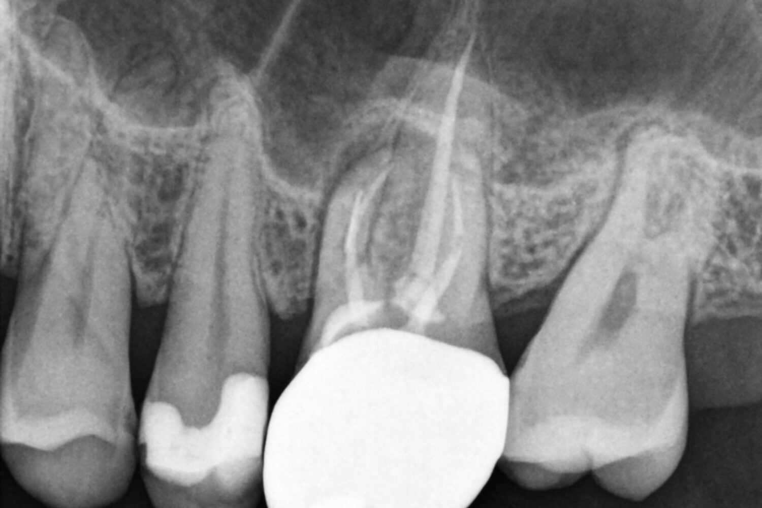
Case Studies
Complex restoration of severely worn, decayed and broken down teeth and gums
Treatments
Major Restorative Dental Treatment
Before

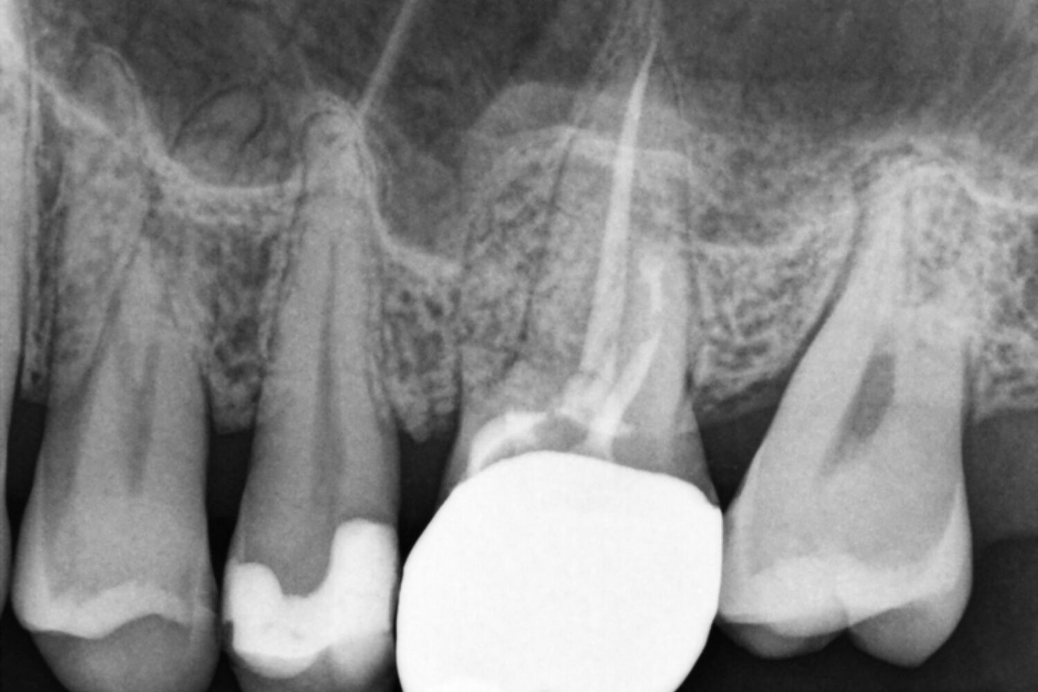
After
Complex restoration of severely worn, decayed and broken down teeth and gums
Treatments
Major Restorative Dental Treatment
Before

After
Severe Wear Caused by Erosion

Before

After
Severe Wear Caused by Erosion

Before

After
Replacement of missing teeth with two dental implants, dental crowns and dental bridges

Before

After
Dental crowns for severe wear

Before

After
Dental crowns and new metal framed partial denture

Before

After
Dental crowns on severely worn teeth (2)

Before

After
Bridges to replace missing teeth

Before

After
Dental implants, dental crowns, and dental bridges to replace missing teeth (hypodontia)

Before

After
Replacement dental crown (with crown lengthening)

Before

After
Crowns and veneers

Before

After
Repair of Cracked Tooth with a Crown, and Decayed Tooth with a Filling

Before

After
Temporary repair of fractured dental crown

Before

After
Repair of chipped and discoloured tooth with composite bonding

Before

After
Direct composite (tooth coloured) fillings to restore decayed teeth
Treatments
Tooth Fillings
Before

After
Replacing a missing tooth with a dental implant and implant crown

Before

After
Direct composite (tooth coloured) tooth fillings to repair decayed teeth
Treatments
Tooth Fillings
Before

After
Replacement of 3 missing teeth with dental implants and implant crowns

Before

After
Repair of fractured teeth with dental composite bonding

Before

After
Repair of worn teeth with dental composite bonding

Before

After
Full upper and implant retained full lower dentures
Treatments
Removable & Partial Dentures
Before

After